1404/04/10 44
نامرتبی دندانها؛ آیا همیشه به ارتودنسی نیاز دارید؟
یکی از رایجترین مشکلاتی که بیماران برای آن به دندانپزشک مراجعه میکنند، «نامرتبی دندانها» یا بهعبارت دقیقتر، مالاکلوژن (Malocclusion) است. برخی بهدلیل زیبایی لبخند، برخی بهخاطر دشواری در جویدن یا صحبت کردن، و عدهای نیز صرفاً به توصیه اطرافیان به فکر اصلاح فرم دندانهایشان میافتند.
اما آیا واقعاً هر نوع نامرتبی نیاز به ارتودنسی دارد؟
چه زمانی میتوان با روشهای دیگر درمان را انجام داد؟
و چه معیارهایی مشخص میکنند که درمان ارتودنسی «ضروری» است یا «اختیاری»؟
به این سؤالات پاسخ میدهیم و شما را با دیدی تخصصیتر نسبت به درمانهای اصلاح بینظمی دندانی در کلینیک خیریه امام صادق (ع) واقع در منطقه هلال احمر تهران آشنا میکنیم.
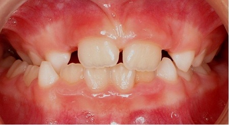
نامرتبی دندان چیست و چه انواعی دارد؟
«نامرتبی دندان» بهمعنای هرگونه بینظمی در ردیف بودن، قرارگیری، چرخش یا فواصل بین دندانهاست. این بینظمی ممکن است ارثی یا اکتسابی باشد و درجات مختلفی از خفیف تا شدید داشته باشد.
شایعترین انواع مالاکلوژن عبارتند از :

علل اصلی نامرتبی دندان ها
برخی دلایل اصلی عبارتند از :
آیا همه افراد با دندان نامرتب باید ارتودنسی انجام دهند؟
پاسخ کوتاه این است : خیر.
در بسیاری از موارد، بهخصوص در بینظمیهای خفیف یا محدود به دندانهای جلو، میتوان از راهکارهای دیگری غیر از ارتودنسی کلاسیک استفاده کرد. در مقابل، زمانیکه بینظمی شدید، عملکرد جویدن مختل شده یا ساختار فک درگیر است، ارتودنسی تنها راهحل اصولی و علمی خواهد بود.
چه زمانی ارتودنسی ضروری است؟

چه زمانی میتوان بدون ارتودنسی درمان کرد؟
در مواردی که بینظمی بسیار خفیف باشد یا صرفاً از نظر زیبایی مورد توجه بیمار باشد، گزینههای دیگری قابل بررسی است :
برای اصلاح جزئی چرخش یا فاصلهی کوچک بین دندانهای جلویی، استفاده از ونیرهای سرامیکی یا کامپوزیتی میتواند راهی سریع و زیباییمحور باشد. این روش دائمی نیست و بسته به شرایط بیمار تجویز میشود.
در بینظمیهای خفیف یا فواصل کوچک، اضافه کردن مواد کامپوزیتی روی سطح دندان، ظاهر آن را یکنواخت و ردیفتر میکند.
در مواردی که دندان شکسته یا فرم آن غیرطبیعی است، استفاده از روکشهای تخصصی میتواند علاوه بر ترمیم، زیبایی لبخند را نیز افزایش دهد.
سن مناسب برای شروع درمان ارتودنسی
برخلاف تصور عموم، ارتودنسی محدود به نوجوانان نیست. درمانهای ارتودنسی میتوانند در هر سنی انجام شوند، اما :
مراقبتهای قبل و بعد از درمان نامرتبی دندان ها
قبل از شروع درمان :
در طول درمان ارتودنسی :
بعد از اتمام ارتودنسی :

سؤالات متداول
آیا نامرتبی دندانها فقط مشکل زیبایی است؟
خیر. در بسیاری از موارد، مالاکلوژن باعث ساییدگی دندانها، پوسیدگی زودهنگام، التهاب لثه، یا مشکلات مفصل فک میشود. تشخیص تفاوت بین مشکل زیبایی و عملکردی، فقط از عهده دندانپزشک متخصص برمیآید.
اگر فقط دندانهای جلو کمی کج هستند، آیا باز هم ارتودنسی لازم است؟
نه لزوماً. در این موارد، درمانهای زیبایی مثل لمینت، باندینگ یا الاینرهای شفاف میتوانند جایگزین مناسبی باشند. البته ارزیابی تخصصی الزامی است.
درمان ارتودنسی در بزرگسالان هم موفقیتآمیز است؟
بله. با روشهای نوین و دقت بالا، ارتودنسی در بزرگسالان هم اثربخش است. تنها تفاوت در مدت زمان درمان و نیاز به مراقبت دقیقتر است.
اگر ارتودنسی نکنم، چه اتفاقی میافتد؟
در مواردی که مشکل عملکردی وجود دارد، عدم درمان میتواند به تحلیل لثه، شکستگی دندان، درد فک، سردرد یا حتی مشکلات گوارشی منجر شود. اما در موارد خفیف، تصمیم نهایی با بیمار است.
نتیجهگیری
نامرتبی دندانها همیشه به معنای نیاز به ارتودنسی نیست. نوع، شدت و هدف از درمان (زیبایی یا عملکردی) تعیینکننده مسیر درمان شما خواهد بود. در بسیاری از موارد، روشهای زیبایی مثل لمینت یا باندینگ کافی هستند؛ اما اگر ساختار فک یا بایت درگیر باشد، ارتودنسی تنها راهحل قطعی است .برای تصمیمگیری درست، ارزیابی تخصصی الزامی است.
اگر احساس میکنید دندانهای شما ردیف نیستند یا لبخندتان نیاز به اصلاح دارد، در کلینیک خیریه امام صادق (ع) ما آمادهایم تا بهترین گزینه را با توجه به شرایط اختصاصی شما پیشنهاد دهیم.
چرا کلینیک خیریه امام صادق (ع) انتخاب درستی برای دندانپزشکی است؟
کلینیک خیریه امام صادق (ع) واقع در منطقه هلال احمر تهران، یکی از مراکز تخصصی دندانپزشکی است که خدمات درمان دندان را با استانداردهای روز ارائه میدهد. ویژگیهای برجسته این مرکز شامل موارد زیر است :
جهت ارتباط و رزرو نوبت می توانید با شماره 02155683620 تماس حاصل فرمایید.
آیا نامرتبی دندانها همیشه به ارتودنسی نیاز دارید؟